三维打印 > betway88app > 神乎其神,3D打印人体肾脏

神乎其神,3D打印人体肾脏

来源:e键打印   发布时间:2015-06-04 09:14:18   浏览次数:
      现代医学的快速发展,使无数人摆脱了以往难以治愈的疾病的困扰,人类的平均寿命也不断攀高。但眼下, 依旧存在着许多“不治之症”,这些疾病是当前人类所无法抵抗的。3D技术,有望成为人类战胜这些顽疾的一大利器。


     近日,复旦大学附属中山医院宣布成功利用3D打印技术治愈了一名77岁高龄的主动脉瓣重度狭窄合并关闭不全患者。据悉,患者目前状况良好。央视新闻对此进行了详细报导。

     3D打印技术是如何帮助进行先天性心病的治疗的呢?在以前,进行主动脉瓣置换手术(简称TAVI)大部分需要进行开胸手术,个中原因是对此患者的检查都只能在电脑形成二维视野,手术中只能通过主刀医生通过各种检查到的数据在脑中加工成“3D模型”,并凭此择合适的人工瓣膜型号、确定DSA球管投照角度、             规划导管进入线路、判断瓣膜释放位置。而通过3D技术,却可以通过对患者的数据信息进行综合整理,再打印出一个1:1的3D心脏模型。

     通过打印出的3D模型,患者的心脏全貌乃至病变的具体位置为止一目了然,主治医生可以便可对患者进行准确安全的微创手术。王教授表示,以前进行类似手术往往需要几个小时,且开胸会对患者在生理上造成一定伤害。利用3D手术,只需要一小时就完成了整个过程,在程序简化的同时,也更加安全更加准确。

     无独有偶,据《每日邮报》报道,英国一名医生利用3D技术治愈了一名先天心脏畸形的2两岁女孩。

     麦娜患有先天性心脏病,在她的两个心室之间有个小洞,病魔蚕食着这个可怜的小女孩,她头上长不了头发,经常性气喘,身体乏力。心室间的洞对于一名小女孩来说太麻烦了,她的心脏太小,进行常规手术需要冒很大风险。利用3D打印技术,这一风险被规避了。

     医生们通过使用3D打印机制作出了麦娜的心脏模型, 主治医生大卫·安德森教授凭借该模型设计出了定制的心脏修复补丁,并找出了最恰当的途径将之缝合到适当位置,补上了小麦娜心室间的那个洞。

     现在的麦娜像一个正常的女孩子健康成长。她能正常吃饭,不再气喘,还长出了漂亮的头发。


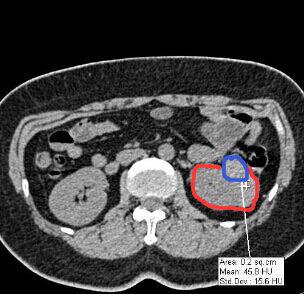
     相信很多人和笔者一样,还是感到疑惑,传统拍片和3D打印出来的器官模型具体有哪些不同,后者又如何表示病变或者需要进行手术的位置呢?对于这一点,专业进行3D设计和打印的东莞创客联盟公司给读者解答了这个疑惑。其负责人陈小姐表示,通过不同颜色来表达病变或需要进行手术的位置,所打印出器官模型足以让病变位置一目了然。为便于说明,其负责人展示他们做的一个案例:


     某医院的外科医生需要做一个3D肾脏模型,但CT片拍出的二维图像中,其肿瘤位置只是通过灰色的色阶来表示(临床应用中称之为CT值),如上图中红色圈出来的是肾脏截面,蓝色则为肿瘤位置。从图中可以看出,在CT片子中蓝色部分仅仅比红色部分要白一点。


     此前,3D打印技术已在牙科、骨科等领域进入临床应用。在肾脏外科的使用才刚刚起步,目前所能打印的是通过电脑成像所模拟出的3D模型。人们不禁要问了,是否有那么一天,人类可以打印出真正的人体心脏,以及别的器官?

     在国外,已有人打印出了人体干细胞。科学家表示,打印真实的人体组织或者器官,在10年内或可成为现实。




Baidu
map
Baidu
map