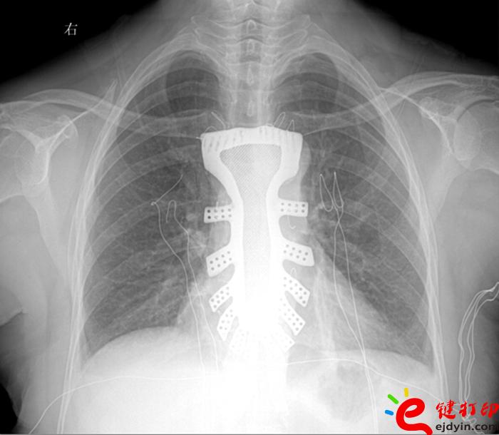
据王小平教授介绍,唐都医院3D打印小组经过精密计算患者胸骨的大小、形状等,充分研究讨论,历时一周,为患者设计出了手术使用的3D胸骨模型,并与西北工业大学凝固技术国家重点实验室合作,为患者打印出了1:1钛合金胸骨模型。随后,又对该模型进行了一系列严密的医学处理。

“手术历时2.5小时,对患者的胸骨进行了整体切除,置换了钛合金胸骨,目前患者恢复良好,未发现任何并发症。”王小平教授称,根据专业机构检索,该手术是世界首例针对胸骨肿瘤疾病,将3D打印的可植入性钛合金胸骨植入人体,实现病变胸骨的整体置换的手术。该手术的成功意味着未来将会为更多的胸骨肿瘤患者带来福音。

“现在感觉和生病前没什么区别。”7月8日,记者在唐都医院病房见到顾女士时,她气色很好,有说有笑。除了胸前留下一条长长的疤痕外,从外表看与健康人没什么两样。
参与此次3D钛合金胸骨设计的唐都医院3D打印团队王臻博士表示,此次尝试是3D打印技术与外科手术的一次完美结合。3D打印的个性化服务与医学有着天然的联系,目前3D打印技术在医学上的研究越来越广泛,为医学的未来发展提供了无限可能。